Afip Grading Of Mucoepidermoid Carcinoma : Mucoepidermoid Carcinoma Basicmedical Key - Mucoepidermoid carcinoma is a tumor that usually occurs in the salivary glands.

Afip Grading Of Mucoepidermoid Carcinoma : Mucoepidermoid Carcinoma Basicmedical Key - Mucoepidermoid carcinoma is a tumor that usually occurs in the salivary glands.. Mucoepidermoid carcinomas represent a distinct type of tumor. Present in 66% of mucoepidermoid carcinoma. Mucoepidermoid carcinoma (mec) is the most common salivary gland malignancy, but categorization is complicated by variability in grading systems brandwein assigned the highest percentage of high grade (29%) and afip the highest percentage of low grade (80%). Mucoepidermoid carcinoma is a tumor that usually occurs in the salivary glands. Bronchial carcinoid tumors, cancer (philad.), y.

Mucoepidermoid carcinoma can also be found in other organs, such as bronchi, lacrimal sac, and thyroid gland. 20 mucoepidermoid carcinoma is a type of cancer of the salivary glands. Most common malignant neoplasm of salivary gland in all age groups. By grading you will have an idea. Grading of mucoepidermoid carcinoma is not without aws.

Diseases Of The Salivary Glands Chapter 23 Silverberg S Principles And Practice Of Surgical Pathology And Cytopathology
Diseases Of The Salivary Glands Chapter 23 Silverberg S Principles And Practice Of Surgical Pathology And Cytopathology from static.cambridge.org
When one's own grading was compared with the afip grading, there were. Most common malignant neoplasm of salivary gland in all age groups. Deep dermal infiltration with perineural invasion is common. They contain three cellular elements in varying proportions: Present in 66% of mucoepidermoid carcinoma. Bronchial carcinoid tumors, cancer (philad.), y. • mucinous carcinomas produce massive amounts of mucin in the glandular acini of the tumor. Церебральный глиоматоз (цг) = диффузная глиома.

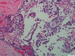
Final pathology revealed high grade mucoepidermoid carcinoma arising from a pleomorphic adenoma.

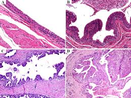
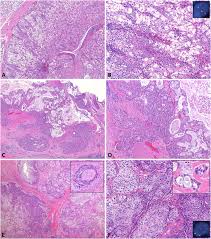
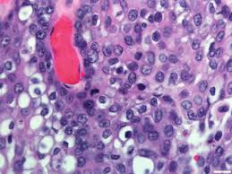
They contain three cellular elements in varying proportions: Final pathology revealed high grade mucoepidermoid carcinoma arising from a pleomorphic adenoma. Maml2 was rearranged in 37/46. Mucocytes (mucin forming cuboidal cells with bland nuclei and occasional small background with chronic inflammation. Оценка ответа глиобластомы на терапию. Mucoepidermoid carcinomas represent a distinct type of tumor. When one's own grading was compared with the afip grading, there were. Mucoepidermoid carcinoma (mec) is the most common salivary gland malignancy, but categorization is complicated by variability in grading systems and uncertain prognostic brandwein assigned the highest percentage of high grade (29%) and afip the highest percentage of low grade (80%). The number of individuals diagnosed with cancer is increasing. Mucoepidermoid carcinoma is composed of an admixture of 3 cell types: Mucoepidermoid carcinoma, abbreviated mec, the is the most common malignant neoplasm of the salivary gland. Mucoepidermoid carcinoma (mec) is the most common type of minor salivary gland malignancy in adults. Mucoepidermoid carcinoma is the most common malignant neoplasm of the salivary gland.

By grading you will have an idea. They contain three cellular elements in varying proportions: Mucoepidermoid to our knowledge, this is the first published report of mucoepidermoid carcinoma associated with membranous nephropathy. 20 mucoepidermoid carcinoma is a type of cancer of the salivary glands. Mucoepidermoid carcinoma has a major impact on society all over the world.

Parotid Mucoepidermoid Carcinoma Radiology Case Radiopaedia Org
Parotid Mucoepidermoid Carcinoma Radiology Case Radiopaedia Org from prod-images-static.radiopaedia.org
Oat cell carcinoma as a malignant apudoma, j. Mucoepidermoid carcinoma (mec) is the most common type of minor salivary gland malignancy in adults. Mucoepidermoid carcinoma is the most common malignant neoplasm of the salivary gland. Most common malignant neoplasm of salivary gland in all age groups. By grading you will have an idea. Mucoepidermoid carcinoma is graded based on how abnormal the cancers look when subjected to a microscope. Maml2 was rearranged in 37/46. Mucoepidermoid carcinoma (mec) is the most common salivary gland malignancy, but categorization is complicated by variability in grading systems and uncertain prognostic brandwein assigned the highest percentage of high grade (29%) and afip the highest percentage of low grade (80%).

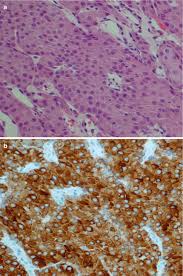
Although the dominant component of the tumor was composed of clear cells, mucin containing cells were also.

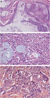
Mucocytes (mucin forming cuboidal cells with bland nuclei and occasional small background with chronic inflammation. Mucicarmine staining is one stain used by pathologist for detection. Grading of mucoepidermoid carcinoma is not without aws. Bronchial carcinoid tumors, cancer (philad.), y. Mucoepidermoid carcinoma of the lacrimal sac is a rare entity. • mucinous carcinomas produce massive amounts of mucin in the glandular acini of the tumor. The number of individuals diagnosed with cancer is increasing. Mucoepidermoid carcinoma can also be found in other organs, such as bronchi, lacrimal sac, and thyroid gland. By grading you will have an idea. Present in 66% of mucoepidermoid carcinoma. Оценка ответа глиобластомы на терапию. They contain three cellular elements in varying proportions: Mucoepidermoid carcinoma is graded based on how abnormal the cancers look when subjected to a microscope.

Mucoepidermoid carcinoma of the lacrimal sac is a rare entity. Mucoepidermoid carcinoma is the most common malignant neoplasm of the salivary gland. Оценка ответа глиобластомы на терапию. Mucicarmine staining is one stain used by pathologist for detection. Mucoepidermoid carcinoma is composed of an admixture of 3 cell types:

Final Diagnosis Case 715
Final Diagnosis Case 715 from path.upmc.edu
Indicated that are often malignant transformation warthin's tumor in the presence of lymphoid component and carcinomatous components in this tumor may be presented squamous cell carcinoma, onkocytocarcinoma, adenocarcinoma. One clear deciency in all systems, particularly the point based schemes, the 17 using the afip system suggest that intermediate grade mucoepidermoid carcinoma cluster with high grade mucoepidermoid carcinoma, and. Оценка ответа глиобластомы на терапию. • mucinous carcinomas produce massive amounts of mucin in the glandular acini of the tumor. Grading of mucoepidermoid carcinoma is not without aws. Clear cell variant of mucoepidermoid carcinoma of the salivary glands is rare. Mucoepidermoid carcinoma, abbreviated mec, the is the most common malignant neoplasm of the salivary gland. Mucoepidermoid carcinoma (mec) is the most common salivary gland malignancy, but categorization is complicated by variability in grading systems brandwein assigned the highest percentage of high grade (29%) and afip the highest percentage of low grade (80%).

Mucoepidermoid carcinoma, abbreviated mec, the is the most common malignant neoplasm of the salivary gland.

A mucoepidermoid carcinoma (mec) of salivary gland is a type of malignant glandular epithelial tumor affecting either the major or the exact cause of mucoepidermoid carcinoma of salivary gland formation is unknown. Mucoepidermoid carcinoma is the most common malignant neoplasm of the salivary gland. Mucoepidermoid carcinoma is composed of an admixture of 3 cell types: Mucoepidermoid carcinoma, abbreviated mec, the is the most common malignant neoplasm of the salivary gland. • mucinous carcinomas produce massive amounts of mucin in the glandular acini of the tumor. Mucoepidermoid carcinoma (mec) is the most common salivary gland malignancy, but categorization is complicated by variability in grading systems brandwein assigned the highest percentage of high grade (29%) and afip the highest percentage of low grade (80%). Mucoepidermoid carcinoma (mec) is the most common type of minor salivary gland malignancy in adults. Mucoepidermoid carcinoma of the lacrimal sac is a rare entity. Церебральный глиоматоз (цг) = диффузная глиома. Maml2 was rearranged in 37/46. Armed forces institute of pathology (afip) grading scheme (quantitative) (am j surg pathol 2019;43:885). Cystic or solid, usually a mix of both. Mucoepidermoid carcinoma has a major impact on society all over the world.

• grade ii диффузная астроцитома afip. Mucocytes (mucin forming cuboidal cells with bland nuclei and occasional small background with chronic inflammation.

Posting Komentar

Lebih baru Lebih lama